Az emberi szövetek jellemzői |
|||||||||||||||||
| 1. | Egyrétegű laphám (endothelium seu epithelium): | ||||||||||||||||
| a) | előfordulása: | ||||||||||||||||
| a szervezet azon belső tereit határolja, amelyek nincsenek nagyobb mechanikai behatásnak kitéve | |||||||||||||||||
| pl.: | |||||||||||||||||
- |
erek belsejében | ||||||||||||||||
- |
agyhártyák agyvíz felé tekintő felszínén | ||||||||||||||||
- |
szívburok belső felszínén | ||||||||||||||||
- |
mellhártya belső felszínén | ||||||||||||||||
- |
hashártya belső felszínén | ||||||||||||||||
- |
tüdőhólyagocskák belső felszínén | ||||||||||||||||
- |
vesecsatornácskák Henle-kacsaiban | ||||||||||||||||
- |
nyálmirigyek kivezető csöveiben | ||||||||||||||||
![]() |
|||||||||||||||||
| egyrétegű laphám felülnézetben | |||||||||||||||||
![]() |
|||||||||||||||||
| egyrétegű laphám oldalnézetben | |||||||||||||||||
| b) | a sejtek alakja: | ||||||||||||||||
| metszetben lapos, felülnézetben szabálytalan alakú szorosan egymás mellett elhelyezkedő sejtek alkotják | |||||||||||||||||
| c) | a sejtmag jellemzője: | ||||||||||||||||
| a sejtek egy sejtmagot tartalmaznak, amelyek néha kiemelkednek a sejt felszínéből | |||||||||||||||||
| 2. | Egyrétegű köbhám: | ||||||||||||||||
| a) | előfordulása: | ||||||||||||||||
- |
mirigyek kivezető csöveiben | ||||||||||||||||
- |
a szemlencse elülső felszínén | ||||||||||||||||
- |
a petefészek felszínén | ||||||||||||||||
| b) | a sejtek alakja: | ||||||||||||||||
| a tér három irányában közel azonos kiterjedésű, köb alakú sejtek, amelyek szorosan egymás mellett helyezkednek el | |||||||||||||||||
![]() |
|||||||||||||||||
| c) | a sejtmag jellemzője: | ||||||||||||||||
| egy sejtmagot tartalmaz, amely a sejt közepén helyezkedik el | |||||||||||||||||
| 3. | Egyrétegű hengerhám: | ||||||||||||||||
| a) | előfordulása: | ||||||||||||||||
- |
mikrobolyhos: | ||||||||||||||||
* |
vékony- és vastagbél nyálkahártyájának felszíne | ||||||||||||||||
* |
epehólyag nyálkahártyájának felszíne | ||||||||||||||||
- |
csillós: | ||||||||||||||||
| női nemzőcsatorna belső felszíne | |||||||||||||||||
- |
speciális, elválasztó: | ||||||||||||||||
| a gyomor nyálkahártyájában | |||||||||||||||||
| b) | a sejtek alakja: | ||||||||||||||||
| általában hatszögletű (sokszögletű) alapú sejtek alkotják, melyeknek a szabad felszínükön: | |||||||||||||||||
- |
mikrobolyhok (felszívnak) | ||||||||||||||||
- |
csillók (továbbítanak) | ||||||||||||||||
| c) | a sejtmag jellemzője: | ||||||||||||||||
| egy sejtmagot tartalmaz, amely általában a sejt alapjához közel helyezkedik el | |||||||||||||||||
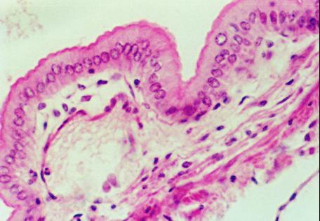
| 4. | Egyrétegű, többmagsoros, csillós hengerhám: | ||||||||||||||||
| a) | előfordulása: | ||||||||||||||||
- |
a légutak nagyrészében | ||||||||||||||||
- |
a férfi nemzőcsatorna nagyrésze | ||||||||||||||||
![]() |
|||||||||||||||||
| b) | a sejtek alakja: | ||||||||||||||||
| szorosan egymás mellett elhelyezkedő, általában hatszögletű, hasáb alakú sejtek, melynek felszínén csillók találhatók, a sejtek között kehelysejtek találhatók, amelyek váladékot termelnek | |||||||||||||||||
![]() |
|||||||||||||||||
| c) | a sejtmag jellemzője: | ||||||||||||||||
| a sejtek egy sejtmagot tartalmaznak, amelyek több síkban helyezkednek el | |||||||||||||||||
| 5. | Többrétegű, el nem szarusodó laphám: | ||||||||||||||||
| a) | előfordulása: | ||||||||||||||||
| a testnyílásokhoz közel, az erős mechanikai hatásnak kitett nyálkahártyákat alkotja | |||||||||||||||||
| pl.: | |||||||||||||||||
- |
szájüreg | ||||||||||||||||
- |
garat | ||||||||||||||||
- |
a nyelőcső alsó 2/3-a | ||||||||||||||||
- |
végbélnyílás | ||||||||||||||||
- |
hüvely nyálkahártyája | ||||||||||||||||
![]() |
|||||||||||||||||
![]() |
|||||||||||||||||
| b) | a sejtek alakja: | ||||||||||||||||
- |
a kötőszövet és a hám határa nem sima, a kötőszövetbe kesztyűujj szerű papillák nyomulnak | ||||||||||||||||
- |
az alsó réteg hasáb alakú sejtekből áll, amelyek felfelé haladva ellapulnak | ||||||||||||||||
| c) | a sejtmag jellemzője: | ||||||||||||||||
| a sejtek egy sejtmagot tartalmaznak, amelyek nagyjából a sejt közepén találhatók | |||||||||||||||||
| 6. | Többrétegű, elszarusodó laphám: | ||||||||||||||||
| a) | előfordulása: | ||||||||||||||||
| a test külső felszíne: a bőr | |||||||||||||||||
| b) | a sejtek alakja: | ||||||||||||||||
| a kötőszövet és a hám határa nem sima, a kötőszövetbe kesztyűujj-szerű papillák nyomulnak, az alsó réteg hasáb alakú sejtekből áll, amelyek felfelé haladva ellapulnak, a felületes réteg elszarusodik | |||||||||||||||||
| c) | a sejtmag jellemzője: | ||||||||||||||||
| egy sejtmagot tartalmaz, amely nagyjából a sejt közepén helyezkedik el | |||||||||||||||||
| 6. | Urothelium (nagyjából a többrétegű köbhámnak felel meg): | ||||||||||||||||
| a) | előfordulása: | ||||||||||||||||
- |
vesemedence felszínén | ||||||||||||||||
- |
vesevezeték üreg felé tekintő részén | ||||||||||||||||
- |
húgyhólyag belső felszínén | ||||||||||||||||
- |
a húgycső kezdeti szakaszában | ||||||||||||||||
| b) | a sejtek alakja: | ||||||||||||||||
| körte vagy esernyő alakú sejtek alkotják több rétegben | |||||||||||||||||
|
|||||||||||||||||
| c) | a sejtmag jellemzője: | ||||||||||||||||
| egy sejtmagot tartalmaznak, de a felső sejtrétegben gyakran több magvú sejtek fordulnak elő | |||||||||||||||||
| 7. | Többrétegű hengerhám: | ||||||||||||||||
| a) | előfordulása: | ||||||||||||||||
| a szem kötőhártyájának áthajlási redője | |||||||||||||||||
![]() |
|||||||||||||||||
| b) | a sejtek alakja: | ||||||||||||||||
| többrétegű, magas, hasáb alakú sejtek alkotják | |||||||||||||||||
| c) | a sejtmag jellemzője: | ||||||||||||||||
| egy sejtmagot tartalmaz, amely a sejt közepén helyezkedik el | |||||||||||||||||
|
|
|||||||||||||||||
|
készítette: Fodor |
|||||||||||||||||
|
módosítva: 2009. szeptember 19. |
|||||||||||||||||