|
Az emberi szövetek jellemzői (II.) |
||||
|
1. |
Izomszövetek: | |||
| a) | harántcsíkolt izomszövet: | |||
| - | előfordulása: | |||
|
* |
vázizom | |||
|
* |
nyelv | |||
|
|
|
|
* |
nyelőcső felső harmada |
|
|
|
- |
a sejt jellemzői: |
|
|
* |
kerek, ferdén lemetszett végű vagy kúp alakú rostok alkotják | |||
|
* |
nagyságuk akár több tíz cm-t is elérhetik | |||
|
* |
bennük általában sok sejtmag van | |||
|
* |
aktinból és myozinból álló rostokat tartalmaz | |||
|
* |
a sejtekben, megtalálható a működésükhöz szükséges Ca2+, K+ és Mg2+ | |||
|
* |
a plazmában sok mitochondrium figyelhető meg | |||
|
* |
több sejtek kötőszövetes tok (fascia) vesz körül | |||
|
|
|
|
* |
a csontokhoz, inak (tedo)rögztíti |
|
|
|
- |
működése: |
|
|
* |
akaratunktól függő működésű | |||
|
* |
nyugalmi állapotban is kisfokú feszesség figyelhető meg rajtuk | |||
|
* |
inger hatására összehúzódás jön létre | |||
|
|
|
|
* |
gyors összehúzódásra és nagy erőkifejtésre képes, de gyorsan fárad |
| b) | simaizom sejtek: | |||
| - | előfordulása: | |||
|
|
|
|
zsigerekben |
|
|
|
|
- |
a sejt jellemzői: |
|
|
* |
orsó alakú sejtek alkotják | |||
| * | a sejt közepén egy sejtmag található | |||
|
* |
az aktin és a myozin elhelyezkedése hossz irányú -» csíkolat hiánya | |||
|
* |
működésükhöz szükséges ionokat szintén tartalmazzák | |||
|
* |
a mitochondriumok száma kevesebb | |||
|
|
|
|
* |
a sejtek körül nem található kötőszövetes tok |
|
|
|
- |
működése: |
|
|
* |
akaratunktól független működésű | |||
|
* |
nyugalmi állapotában teljesen ellazult | |||
|
* |
inger hatására féregszerű összehúzódás jön létre | |||
|
|
|
|
* |
lassú működésű, de nagy erejű tartós összehúzódásra képes |
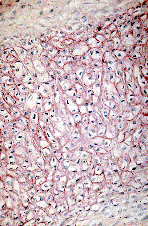
| c) | szívizomszövet: | |||
| - | előfordulása: | |||
|
|
|
|
a szívben és a nagyerek kezdeti szakaszában |
|
|
|
|
- |
a sejt jellemzői: |
|
| * | módosult simaizom sejtek alkotják | |||
| * | a sejtek összefüggő hálózatot (syncytiumot) alkotnak | |||
| * | egy-egy sejt villa alakban elágazik | |||
| * | a szívizomrost közepén egy sejtmag található | |||
| * | az aktin és a myozin speciális elrendződésű | |||
| * | a mitochondriumok száma igen nagy | |||
|
|
|
|
* |
a sejthatárok (Ebert-féle vonalak) csak felépítés szempontjából igazak |
|
|
|
- |
működése: |
|
| * | működésük során átmenetet képeznek a harántcsíkolt és a simaizom között | |||
| * | akaratunktól független, gyors működésűek | |||
|
|
|
|
* |
nagy erőkifejtésre képes és sohasem fárad el |
|
2. |
kötő- és támasztószövetek: | |||
| 2./A Porcszövetek: | ||||
| a) | üvegporc (hyalinporc): | |||
| - | előfordulása: | |||
|
|
|
|
ízületek |
|
![]() |
||||
![]() |
||||
|
|
|
- |
a szövet sejtjeinek jellemzői: |
|
| * | 2-4 sejtekből álló sejtcsoportok figyelhetők meg | |||
|
|
|
|
* |
a sejtek szabálytalan korong (zsemle) alakúak és egymáshoz lapítottak |
|
|
|
- |
a sejtközötti állomány jellemzése: |
|
| * | látszólag egynemű | |||
|
|
|
|
* |
a húzási erővonalakkal párhuzamos rostok alkot |
|
|
b) |
rugalmas (elasticus) porc: |
||
| - | előfordulása: | |||
|
|
|
|
fülkagyló, gégefedő |
|
|
|
||||
|
|
||||
|
|
|
- |
a szövet sejtjeinek jellemzői: |
|
|
|
|
|
egyesével, sűrűn egymás mellett elhelyezkedő szabálytalan alakú sejtek |
|
![]() |
||||
|
|
|
- |
a sejtközötti állomány jellemzése: |
|
|
|
|
|
sűrű szövésű, rendszertelen elrendeződésű, elasztikus rostok alkotják |
|
|
|
c) |
collagén rostos porc: |
||
| - | előfordulása: | |||
|
|
|
|
csigolya közti porcok, bordaporcok |
|
|
|
||||
|
|
||||
|
|
|
- |
a szövet sejtjeinek jellemzői: |
|
|
|
|
|
rostok közé ékelt, nagy hólyag alakú sejtek találhatók benne |
|
|
|
|
- |
a sejtközötti állomány jellemzése: |
|
| a rostok általába párhuzamosan haladnak | ||||
| 2./B Csontszövet: | ||||
| a) | előfordulása: | |||
|
|
|
csontvázrendszer |
||
![]() |
||||
![]() |
||||
|
|
b) |
a szövet sejtjeinek jellemzői: |
||
| - | szilvamag alakú sejtek alkotják | |||
| - | egymással nyúlványok segítségével állnak kapcsolatban | |||
|
|
|
- |
a szövet funkciójában a sejtek nem vesznek részt |
|
![]() |
||||
| c) | a sejtközötti állomány jellemzése: | |||
| - | szervetlen anyaga | |||
| * | a csont szilárdságát biztosítja | |||
| * | 20 fajta elem található benne | |||
|
|
|
|
* |
legnagyobb mennyiségben Ca sókat tartalmaz |
| - | szerves anyaga | |||
| * | a csont rugalmasságát biztosítja | |||
| * | kötőszöveti rostok, fehérjék és szénhidrátok találhatók meg benne | |||
|
|
||||
| készítette: Fodor | ||||
|
|
||||
|
|
||||
|
módosítva: 2009. szeptember 20. |
||||