| Babánk életútja... (folyt. köv.) | |
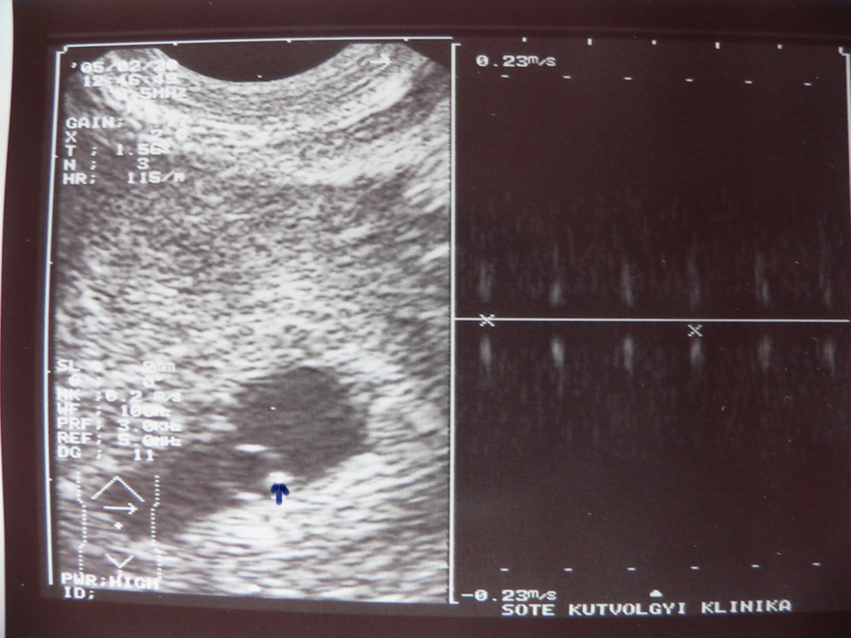
| 5 hetes, 4.5 mm. A kis nyilacska szerűség mutatja a szívét. Mellette a függőleges vonalak a szívverését mutatják.. :-) | |
| 8. hetes ultrahang képe. egyértelműen kivehető a fej (bal oldal), aztán jobbra haladva a keze, alul a lába :-) |
|
| 12. heti ultrahang. 6,5 cm.
láb, test, fej, kezek láthatóak. |
|
| itt pedig oldalnézetből és a köldökzsinór is látható. | |
![]() |
19. heti ultrahang képek következnek. Jobb oldalon a feje, éppen errefelé néz, feje alatt, állánál a keze, 5 ujja látható! |
![]() |
Ez a kép talán magáért beszél.. fej, állkapocs jól látható, orr is, bordák is.. |
![]() |
itt pedig a bizonyiték arra hogy fiú lesz... :-) |
![]() |
22.heti ultrahang.. sajnos hason feküdt éppen, igy nem
sokat lehetett látni belőle.. talán ez egy aranyos kép a lábfejéről alulnézetből.. 5 pici ujjal... |
![]() |
hasam állapota a 19. héten |
![]() |
|
|
|
Ezt a babakocsit vettük a www.babaholmiolcson.hu oldalról.. |
![]() |
Igy nézek ki a 28. héten.. mi lesz még?? :-)) |
![]() |
|
|
|
Végre megvan a szekrény is.. |
![]() |
elkészült végre a 4D-s ultrahang is... ez lett a legjobb
kép... 30. hét |
![]() |
már most bemutat a kis
ujjacskájával!!!!! (nem tudom ki mit lát-nemlát a képben, mindenesetre bal alsó sarokban van a keze kinyújtott ujjal) |
![]() |
30.hét..egy kis mosollyal |
![]() |
"hagyjatok már békén!!" |
![]() |
Hasam állapota a 32. héten.. |
![]() |
..és a 35. héten.. |
|
|
... a menyezetre is felkerültek a foszforeszkáló csillagok, holdak.. |
![]() |
|
|
|
igy néz ki nappal... |
![]() |
36. hét vége |
![]() |
36. hét vége (2005.szept. 24.) |
|
|
HASAM A 38. HÉT ELEJÉN |